様々な資格の模試がネット上で無料で出来るサイトです
モシネットメインバナー画像

第107回看護師国家試験【必修問題】の模試

試験の説明

看護師国家試験は、国家資格である看護師の免許を取得するための試験で、毎年2月中旬に実施されます。
受験資格を有している人を対象に、看護師として求められる必要最低限の知識を備えているかどうかを見るものです。
受験生が看護師養成課程を経ていることが前提となるため難易度は高くありませんが、それでも毎年10%以上は不合格となっています。
油断せずに対策をしておくことが重要となります。

看護師国家試験の問題には、大きく分けて「必修問題」「一般問題」「状況設定問題」という3種類があります。
基本的には必修問題50問、一般問題130問、状況設定問題60問で設定され、240問で5時間以上の長丁場となります。

合格基準は「必修問題」が80%、その他で70%以上とされていますが、年によって変動します。
本サイトでは「必修問題」「一般問題」「状況設定問題」を3つに分けて出題します。

問1

平均寿命で正しいのはどれか。


問2

平成27年(2015年)の病院報告による一般病床の平均在院日数はどれか。

※採点除外等の取扱いをした問題です。
【採点上の取扱い】正解した受験者については採点対象に含め、不正解の受験者については採点対象から除外する。
【理由】問題として適切であるが、必修問題としては妥当でないため。


問3

シックハウス症候群に関係する物質はどれか。


問4

介護保険法に基づき設置されるのはどれか。


問5

QOLを評価する項目で最も重要なのはどれか。


問6

原始反射はどれか。


問7

思春期にみられる感情の特徴はどれか。


問8

老年期の身体的な特徴はどれか。


問9

一般病床の看護職員の配置基準は、入院患者【 】人に対して看護師及び准看護師人と法令で定められている。
【 】に入るのはどれか。

※採点除外等の取扱いをした問題
【採点上の取扱い】正解した受験者については採点対象に含め、不正解の受験者については採点対象から除外する。
【理由】問題として適切であるが、必修問題としては妥当でないため。


問10

嚥下に関わる脳神経はどれか。


問11

肝臓の機能で正しいのはどれか。

※採点除外等の取扱いをした問題
【採点上の取扱い】正解した受験者については採点対象に含め、不正解の受験者については採点対象から除外する。
【理由】問題として適切であるが、必修問題としては妥当でないため。


問12

頻回の嘔吐で生じやすいのはどれか。


問13

関節や神経叢の周辺に限局して起こる感覚障害の原因はどれか。


問14

良性腫瘍と比較して悪性腫瘍でみられる特徴はどれか。


問15

肝障害の指標となる血液生化学検査の項目はどれか。


問16

排便を促す目的のために浣腸液として使用されるのはどれか。


問17

他の医薬品と区別して貯蔵し、鍵をかけた堅固な設備内に保管することが法律で定められているのはどれか。


問18

面接時の質問方法でopen-ended question〈開かれた質問〉はどれか。


問19

異常な呼吸音のうち高調性連続性副雑音はどれか。


問20

患者をベッドから車椅子へ移乗介助するときの車椅子の配置を図に示す。
左片麻痺のある患者の介助で最も適切なのはどれか。


問21

経腸栄養剤の副作用(有害事象)はどれか。


問22

静脈内注射を行う際に、必ず希釈して用いる注射液はどれか。


問23

充塡された酸素ボンベの保管方法で正しいのはどれか。


問24

褥瘡発生の予測に用いるのはどれか。


問25

平成26年(2014年)の国民健康・栄養調査において、運動習慣のある女性の割合が最も高い年齢階級はどれか。


問26

健常な成人の血液中にみられる細胞のうち、核が無いのはどれか。


問27

自発呼吸時の胸腔内圧を示す曲線はどれか。


問28

急性大動脈解離について正しいのはどれか。


問29

平成24年度2012年度における社会保障給付費の内訳で多い順に並んでいるのはどれか。


問30

法律とその内容の組合せで正しいのはどれか。


問31

排泄行動が自立している入院中の男性高齢者が、夜間の排尿について「夜は何度もトイレに行きたくなります。そのたびにトイレまで歩くのは疲れます」と訴えている。
この患者の看護で適切なのはどれか。


問32

良質の医療を受ける権利を宣言しているのはどれか。


問33

看護における問題解決過程で誤っているのはどれか。


問34

検査に用いる器具を別に示す。
Weber〈ウェーバー〉試験に用いるのはどれか。


問35

患者と看護師が面談をする際、両者の信頼関係を構築するための看護師の行動で最も適切なのはどれか。


問36

成人に経鼻経管栄養法を行う際の胃管を挿入する方法で適切なのはどれか。


問37

ボディメカニクスを活用して、看護師が患者を仰臥位から側臥位に体位変換する方法で正しいのはどれか。


問38

入浴の際に血圧が低下しやすい状況はどれか。


問39

輸血後、数日から数週間経過してから出現する副作用(有害事象)はどれか。


問40

上部消化管内視鏡検査について適切なのはどれか。


問41

全身麻酔下で食道再建術を受ける患者への術前オリエンテーションで適切なのはどれか。


問42

生活習慣が発症に関連している疾患はどれか。


問43

難病の患者に対する医療等に関する法律〈難病法〉に基づく医療費助成の対象となる疾患はどれか。


問44

慢性疾患の患者に対する自己管理の支援で最も適切なのはどれか。


問45

Aさん(56歳、男性)は、化学療法後の血液検査にて好中球数300/mm3であった。
Aさんの状態で正しいのはどれか。


問46

Aさん(35歳、男性)。身長175cm、体重74kgである。
1か月前から腰痛と右下肢のしびれが続くため受診した。
腰椎椎間板ヘルニアと診断され、保存的療法で経過をみることになった。
Aさんへの生活指導として適切なのはどれか。


問47

老年期の心理社会的葛藤を「統合」対「絶望」と表現した人物はどれか。


問48

平成26年(2014年)の国民生活基礎調査における65歳以上の高齢者がいる世帯について正しいのはどれか。


問49

Aさん(66歳、男性)は、Lewy〈レビー〉小体型認知症であるが、日常生活動作〈ADL〉は自立している。
介護老人保健施設の短期入所〈ショートステイ〉を初めて利用することとなった。
施設の看護師は、同居している家族から「以前、入院したときに、ご飯にかかっているゴマを虫だと言って騒いだことがあったが、自宅ではそのような様子はみられない」と聞いた。
入所当日の夜間の対応で適切なのはどれか。


問50

Aさん(70歳、女性)。夫(72歳)と2人暮らし。
慢性腎不全のため腹膜透析を行うことになった。
認知機能や身体機能の障害はない。
腹膜透析について説明を受けた後、Aさんは「私のように高齢でも自分で腹膜透析をできるのか心配です。
毎日続けられるでしょうか」と話した。
Aさんへの対応で最も適切なのはどれか。


問51

Aさん(80歳、女性)。
大腿骨頸部骨折のため人工骨頭置換術を受けた。
手術後14日、Aさんの経過は順調で歩行訓練を行っている。
歩行による疼痛の訴えはない。
現在のAさんの状態で最も注意すべきなのはどれか。


問52

胎生期から小児期の血清免疫グロブリン濃度の年齢による変動を図に示す。
①が示しているのはどれか。


問53

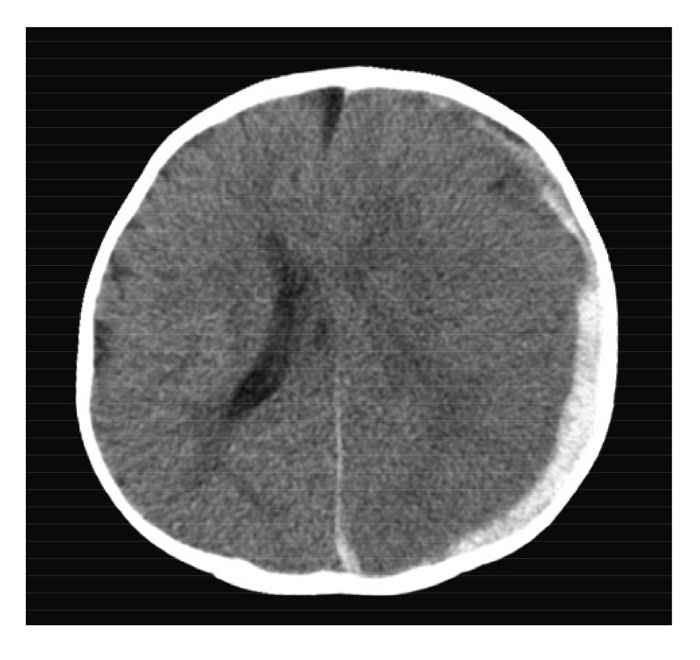
Aちゃん(生後4か月、女児)は、嘔吐とけいれんのため病院を受診した。
受診時、Aちゃんは傾眠状態で、顔色不良と眼球上転がみられたため入院となった。
受診時の体温は36.8℃であった。四肢は硬直し、数か所の内出血斑があった。
大泉門は平坦であったが、次第に膨隆を認めるようになった。
このときの頭部CTを別に示す。
Aちゃんの所見として考えられるのはどれか。


問54

性同一性障害〈GID〉/ 性別違和〈GD〉について正しいのはどれか。


問55

ルービン,R.による母親役割獲得過程におけるロールプレイはどれか。


問56

産科外来を初めて受診した妊婦。夫婦ともに外国籍で、日本の在留資格を取得している。
この妊婦への説明で正しいのはどれか。


問57

大震災の2日後、避難所にいる成人への心理的援助で適切なのはどれか。


問58

修正型電気けいれん療法について正しいのはどれか。


問59

自殺念慮を訴える患者で、自殺が最も切迫している状態はどれか。


問60

養護者による虐待を受けたと思われる高齢者を発見した者が、高齢者虐待の防止、高齢者の養護者に対する支援等に関する法律〈高齢者虐待防止法〉に基づき通報する先として正しいのはどれか。